Ortodoncia invisible y estética en Barcelona
Nuestros tratamientos
En Clínica Dental BCN cada tratamiento es realizado por un especialista, lo que nos permite ofrecer una amplia gama de tratamientos y garantizar la calidad de estos.
¿Tienes dudas?, ¿quieres una segunda opinión?, ¿necesitas un dentista en Barcelona?
Consulta qué opciones de tratamiento te podemos ofrecer.
¿Conoces CEREC?
Descubre el mundo CEREC (Tratamientos en una sola sesión) ...
Sin próximas visitas, restauraciones definitivas, libre de metal. Atrévete...
Ortodoncia
Tratamiento convencional de ortodoncia
La ortodoncia es una de las especialidades más delicadas de la odontología, debido a que requiere unos profundos conocimientos del funcionamiento del desarrollo de la cara y la cabeza, así como la relación que puede haber al mover estructuras dentales como en la estimulación mecánica del crecimiento de las estructuras óseas.
¿A qué edad puede realizarse un tratamiento de ortodoncia?
Tanto niños como adultos pueden recibir tratamiento ortodóncico, aunque dado que los niños se encuentran en crecimiento y desarrollo de las estructuras óseas, se recomienda que se realicen una revisión de ortodoncia antes de los 7 años.
Algunos problemas se corrigen más fácilmente si se realiza un tratamiento precoz, que puede ser solucionado con ortopedia dental (estimulación de las estructuras óseas).
No esperes a que aparezca un problema y visítanos para que nuestro especialista valore la necesidad de tratamiento.
Una alternativa a la ortodoncia de toda la vida
Es un proceso distinto basado en férulas alineadoras transparentes, perfectas para aquellas personas que no quieren que le afecte a su estética durante el tratamiento.
Es ideal tanto para adolescentes (a partir de 14 años) como para adultos (previa valoración de nuestro ortodoncista) que quieren mejorar el estado de sus dientes sin tener que llevar el sistema tradicional de brackets.
En Clínica Dental BCN aconsejamos este tratamiento solo en los casos que son factibles (previa valoración de nuestro especialista), puesto que la ortodoncia invisible no es solución para todos los casos.
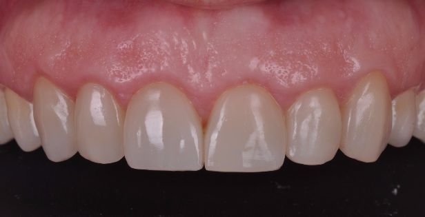
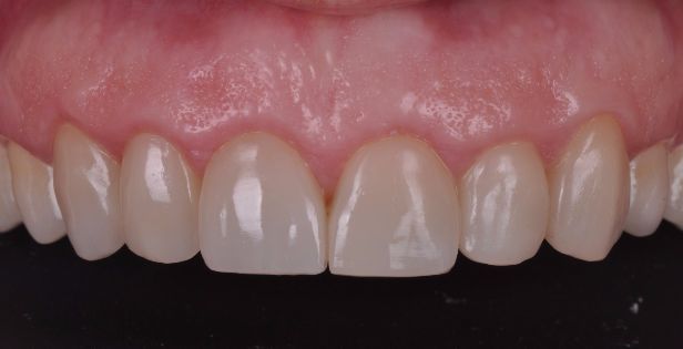
Estética dental
Diseñamos tu sonrisa
En Clínica Dental BCN personalizamos el estudio de cada paciente para poder ofrecerte el tratamiento estético indicado, que normalmente suele coincidir con carillas dentales de cerámica.
Las carillas de cerámica son un tipo de tratamiento poco invasivo que busca embellecer la sonrisa del paciente, el cual se ha hecho un estudio previo de rediseño de sonrisa.
Actualmente, el proceso de fabricación de las carillas de cerámica se puede realizar de tres formas:
Una de ellas es confeccionando las carillas manualmente, colocando la cerámica capa por capa.
Antes y después

Blanqueamiento dental
En la actualidad, uno de los tratamientos estéticos más solicitados por parte de los pacientes es el blanqueamiento dental, que es básicamente la eliminación de pigmentos dentales adquiridos por el propio paciente.
Para ello, existen diversas técnicas, dentro de los cuales se encuentra el sistema a base de peróxido de hidrógeno (puro o como peróxido de carbamida) como el más común, seguro y que puede ser recetado única y exclusivamente por dentistas para poder garantizar su idoneidad. Todo el proceso debe durar aproximadamente una semana, previa confección de férulas personales e individualizadas para cada paciente y de un control fotográfico de este.
Pigmentaciones dentales: ¿qué las causan?
La pigmentación es una coloración externa del diente; es decir, las manchas se depositan sobre la estructura dentaria, a diferencia de las tinciones, que son aquellas manchas que se producen dentro de la etapa de formación del diente.
¿Qué es un implante dental?
Los implantes dentales no son nada nuevo. Se han utilizado como sustitución permanente de dientes desde mediados de la década de los 60.
Se trata de un procedimiento muy sencillo, en el que se introduce un pequeño tornillo de titanio en el maxilar.
El titanio es tolerado por el organismo y cicatriza por medio de oxidación de su superficie junto con el tejido óseo para formar una nueva raíz estable para el diente.
Prótesis completas
Cuando la alternativa no son los implantes...
Durante muchos años, antes que existiera la implantología y hasta nuestros tiempos, uno de los tratamientos más comunes era la aplicación de prótesis completas. Todos tenemos grabado en la mente el recuerdo de abuelos o conocidos mayores que portaban prótesis completas y para los cuales su ausencia de dientes no significaba un problema, puesto que su prótesis estaba bien hecha y respetaba los parámetros funcionales de la boca.
Hoy en día, en nuestra clínica dental mantenemos intactos los conocimientos de antaño para poder solucionar los problemas a nuestros pacientes que no pueden llevar implantes. Porque nuestro compromiso es con vosotros.
¡Queremos ser tu dentista!

Recupera tus parámetros faciales y funcionales
La ausencia total de dientes hace que la cara pierda un soporte funcional y estético, provocando el hundimiento labial. Esto es fundamental analizarlo, puesto que de ello depende el éxito de nuestras prótesis.
En ocasiones, no se tienen en cuenta los parámetros estéticos y funcionales, con lo que se confeccionan prótesis que no devuelven la funcionalidad y estética del paciente.
Con el simple hecho de conservar o recuperar los parámetros faciales y funcionales de la persona, se puede llegar a tener éxito en la realización de las prótesis.
Profilaxis: mantener los dientes sanos
La profilaxis dental, también conocida como "limpieza", es el tratamiento odontológico más arraigado y de mayor importancia para la prevención de algunas enfermedades y alteraciones de carácter bucodental.
A través de nuestras medidas de prevención y profilaxis, procuramos conservar les encías, los dientes, la mucosa bucal y los implantes, disminuyendo la carga bacteriana en la cavidad oral, evitando así la proliferación de enfermedades que puedan tener una repercusión oral.
Para ello, desarrollamos conceptos de profilaxis hechos a medida y destinados a niños y a adultos.
Periodoncia
Seguramente muchas veces has oído hablar de la tan temida "piorrea", que no es más que la enfermedad periodontal. Deberías saber que el inicio y progresión de la enfermedad periodontal se atribuye a la presencia de niveles elevados de bacterias periodonto patógenas que habitan en el surco gingival. Existe una gran cantidad de microorganismos entre la encía y el diente, pero solamente un pequeño número de ellos juega un papel significativo en la causa de la enfermedad periodontal. Hay muchas pruebas o test microbiológicos para la identificación de estas bacterias que complementan el diagnóstico periodontal y logran hacer más precisa la situación periodontal del paciente y valorar la necesidad de establecer un tratamiento antibiótico coadyuvante al tratamiento periodontal. En resumen, todo paciente que padece problemas periodontales debería realizarse un test bacteriológico, y poder así establecer un tratamiento completo para "reducir la carga bacteriana patógena" y tener un mejor pronóstico en el control de la enfermedad periodontal ("piorrea").
Pacientes SQM
Hoy en día, la SQM (Sensibilidad Química Múltiple) es objeto de intensos debates entre la comunidad científica, debido a que la mayoría de los casos detectados tienen muy pocos aspectos comunes, dada la variedad de síntomas y de grados de afectación. Por otro lado, existe una clara controversia en cuanto a los mecanismos biológicos que la originan, así como una falta de criterios comunes para su diagnóstico y tratamiento.
Los estudios científicos disponibles describen una diversidad de factores que pueden originar la SQM (desde variables inmunológicas y factores psicológicos hasta alteraciones en el metabolismo de xenobióticos, etc.), sin que hasta el momento se conozcan sus bases fisiopatológicas.
Cambios de amalgama dental
El cambio de amalgama es una técnica muy discutida como técnica sensible, puesto que el proceso de cambios o extracción de la amalgama dental puede elevar el riesgo de contaminación del paciente durante el procedimiento si no se realizan algunas precauciones recogidas en el Protocolo de la IAOMT. Muchas veces es necesario recurrir a la aplicación de oxigenoterapia (vídeo), sobre todo en pacientes con SQM.
Una vez finalizada la extracción de toda la amalgama dental, la elección del material sustituto debe de ir acompañado de un alto criterio biológico. Se utilizan materiales libres de metales y libres de bisfenol A, es decir, altamente biocompatibles. El mayor riesgo de intoxicación se produce cuando se coloca o se realiza la remoción o "cambio de amalgama", por lo que la técnica debe ser exquisita y dar un protagonismo real al aislamiento absoluto para dar una mayor protección al paciente como al personal sanitario.
Cirugía bucal
La cirugía bucal es una de las especialidades de la odontología a la que le concierne el diagnóstico y el tratamiento quirúrgico de las enfermedades, anomalías y lesiones de los dientes, la boca, los maxilares y sus tejidos contiguos.
Esta situación crea la necesidad de saber cómo funcionan los tejidos, así como su proceso de reparación. De esta forma, se logra controlar la evolución en todas sus fases para minimizar el factor riesgo-beneficio; así como los aspectos de diagnóstico y tratamiento de las diferentes alteraciones y patologías de la cavidad bucal son fundamentales para nosotros.



